Marque a sua consulta!

Navicular acessório

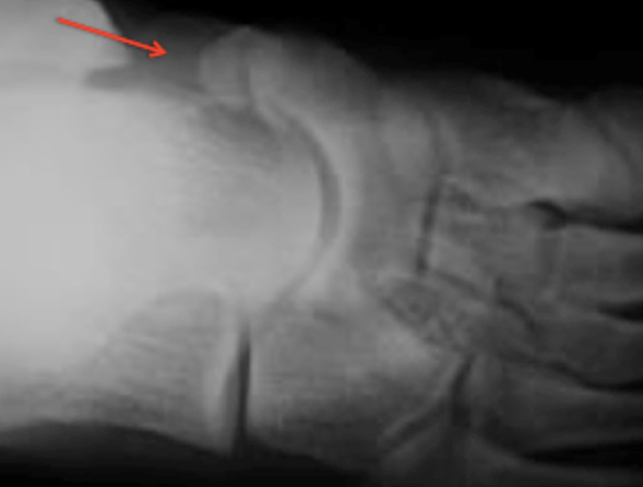
O que é?

O navicular acessório é um osso acessório ou variante anatômica localizado na face medial do pé. Não está presente em todos os indivíduos, mas pode ser identificado em cerca de 4 a 21% da população, dependendo do estudo e população analisada. É bilateral em até 70% dos casos, e é mais comum em mulheres adolescentes.

Embora seja frequentemente assintomático, pode causar dor medial no mediopé e ser confundido com outras patologias, como fratura de stress ou tendinite do tibial posterior.

Pode ser classificado em 3 tipos principais:

  • Tipo I — Sesamóide (pequeno, redondo, totalmente ossificado dentro do tendão do tibial posterior e geralmente assintomático).
  • Tipo II — Sincondrose (mais sintomático, articula-se com o navicular verdadeiro por meio de cartilagem ou tecido fibroso, e pode causar dor crônica, especialmente em adolescentes e adultos jovens ativos).
  • Tipo III — Fusão Completa (o osso acessório está fundido ao navicular, formando um navicular corniforme, e pode ser confundido com uma exostose).

 

Quais os sintomas?

Os sintomas mais comuns do navicular acessório incluem saliência óssea palpável na região medial do mediopé, acima do arco plantar. Pode causar desconforto ao usar sapatos apertados, dor pós-atividade física, e em casos graves, gerar um pé plano.
Os sintomas geralmente têm início após um trauma ou uma entorse, com leva a uma inflamação na região da sincondrose.

 

Como se faz o diagnóstico?

Ao exame objetivo para além de observar a deformidade anatómica na região medial do mediopé, pode reproduzir se os sintomas com a palpação sobre o navicular medial e com a inversão resistida do pé (ao ativar o tibial posterior). É necessário avaliar o arco plantar, para avaliar se já existe colapso ou pronação excessiva.

Geralmente o estudo é complementado com exames auxiliares de diagnóstico, como a radiografia dos pés em carga, onde podemos identificar o osso acessório. A ressonância magnética é de extrema importância nesta patologia para avaliar o estado tendinoso (inflamação ou rotura parcial do tendão tibial posterior) e para avaliar a presença de edema ósseo na região da sincondrose.

 

Qual o tratamento?

O tratamento pode variar dependendo da gravidade dos sintomas.

Tratamento conservador
Em muitos casos, o tratamento conservador pode ajudar a aliviar o desconforto. Este tratamento consiste, nas medidas gerais anti-inflamatórias (repouso, elevação, gelo e medicação analgésica), na utilização de calçado confortável, no uso de palmilhas com apoio do arco medial, assim como evitar atividades que agravem a condição.
O fortalecimento muscular, o alongamento e a reeducação postural realizadas na fisioterapia são essenciais.

Em determinados casos pode ser recomendada uma infiltração local.

Tratamento Cirúrgico
Quando o tratamento conservador falhar, o tratamento cirúrgico deve ser considerado. É realizada a excisão do navicular acessório e a re-inserção do tendão tibial posterior na base do navicular verdadeiro - Procedimento de kidner. Pode ser necessário realizar outros procedimento adicionais se já existir uma deformidade associada (tal como osteotomias em casos de pé plano severo)

 

No caso de procedimento de kidner, como é o pós operatório?

  • Pode caminhar com o auxílio de canadianas e bota walker, com carga conforme tolerar no membro operado
  • Primeiro penso pós-operatório na avaliação da 1ª consulta.
  • Retira pontos na avaliação da 2ª consulta.
  • Retira bota walker as 5-6 semanas
  • Inicio da fisioterapia, se necessário, após início da carga. Para treino de marcha e fortalecimento dos músculos do pé e tornozelo.

RESUMO

Cirurgia

Ambulatório

Tempo de cirurgia

45 minutos

Tempo de descarga

0 dias

Necessidades especiais

bota walker e canadianas em SOS

Regresso ao trabalho de secretária

3 a 4 semanas

Regresso ao trabalho em pé ou pesado

8 a 12 semanas

Regresso ao desporto

12 semanas

Pretende algum esclarecimento adicional?
Terei todo o gosto em ajudar!