Marque a sua consulta!

Lesão da sindesmose

O que é?

A lesão da sindesmose do tornozelo, também conhecida como entorse alta do tornozelo, é uma condição incomum que afeta a estrutura fibrosa que conecta os ossos da tíbia e do perónio. 

Esse tipo de lesão é relativamente menos comum do que as entorses do tornozelo tradicionais (as que afetam o complexo ligamentar lateral), mas pode ser mais grave e resultar num tempo de recuperação mais prolongado. Podem ainda estar associadas a instabilidade do tornozelo, e é essencial uma articulação estável e congruente para uma mobilidade normal do tornozelo e diminuir desta forma o risco de desenvolvimento de alterações degenerativas precoces desta articulação.  

 

Como aparece?

A lesão da sindesmose do tornozelo geralmente ocorre devido a uma força rotacional ou um trauma direto que provoca uma separação anormal entre a tíbia e o peróneo. Tipicamente, resultam de uma rotação externa forçada do pé com um tornozelo em dorsiflexão, como em desportos que envolvem mudanças rápidas de direção, como futebol, basquetebol, e rugby.

 

Quais os sintomas?

Mais frequentemente, após o mecanismo lesional existe uma dor anterolateral no tornozelo, geralmente mais proximal à região afetada nas entorses laterais do tornozelo, e pode ter uma irradiação pela perna acima. Pode ainda estar presente a sensação de instabilidade do tornozelo ao realizar movimentos rotacionais, o edema do tornozelo e a dificuldade em caminhar.

 

Como se faz o diagnóstico?

Um exame objetivo cuidado e com as manobras específicas é essencial. A manobra do squeeze test, single heelrise, agachamento monopodalico e stress em rotação externa, são algumas das manobra especificas para esta patologia.
 
 
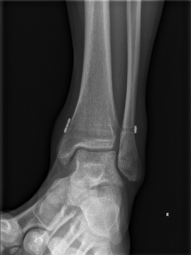
Geralmente a suspeita diagnóstica é confirmada com exames de imagem. A radiografa em carga pode logo ser confirmatória em lesões grosseiras. Em lesões mais subtis, é necessário a realização de ressonância magnética.
 
As lesões da sindesmose podem ser classificadas de acordo com a gravidade da lesão (número de ligamentos afetados), o grau de instabilidade do tornozelo e a diástase (separação) entre a tíbia e o peróneo nos exames de imagem.
  • Lesão de Grau I (Leve): Estiramento ou rotura parcial dos ligamentos da sindesmose sem diástase entre a tíbia e o peróneo.
  • Lesão de Grau II (Moderada): Rotura parcial com alguma diástase (na RMN e mas não no Rx), podendo haver sinais de instabilidade ou não, o que condiciona o tipo de tratamento.
  • Lesão de Grau III (Grave): Rotura completa dos ligamentos da sindesmose com diástase clara entre a tíbia e a fíbula (já visível no Rx), resultando em instabilidade evidente do tornozelo.

 

Qual o tratamento?

O tratamento para a lesão da sindesmose do tornozelo depende da gravidade da lesão e da estabilidade da articulação.

Tratamento conservador

Em lesões estáveis, grau I e IIA (sem instabilidade ao exame objetivo), o tratamento é conservador, semelhante aos das entorses laterais do tornozelo, mas por períodos mais longos. O tratamento é maioritariamente sintomático para diminuir a inflamação inicial, com repouso, gelo, elevação do membro e anti-inflamatórios. Após a fase inicial inflamatória, a fisioterapia é essencial para restaurar a força, a mobilidade e a estabilidade do tornozelo. O fortalecimento dos músculos da perna e exercícios de propriocepção são fundamentais.

Tratamento Cirúrgico

Em lesões instáveis, grau IIB (com instabilidade ao exame objetivo) e III o tratamento é cirúrgico, consistindo numa artroscopia do tornozelo, com redução e estabilização da sindesmose, mantendo a tíbia e o peróneo unidos durante a cicatrização dos ligamentos. Em casos onde há rotura extensas ou crónicas, pode ser necessário reconstruir os ligamentos usando enxertos ou outras técnicas cirúrgicas.

 

Como é o pós operatório?

  • Não pode realizar carga no membro operado por período de 4 semanas
  • Não necessita de imobilização.
  • Primeiro penso pós-operatório na avaliação da 1ª consulta.
  • Retira pontos na avaliação da 2ª consulta.
  • Início da fisioterapia, após a retirada dos pontos, focando na restauração da amplitude de movimento, força e propriocepção.
  • Início de carga progressiva no membro operado às 4 semanas de pós-operatório.

RESUMO

Cirurgia

Ambulatório

Tempo de cirurgia

45 minutos

Tempo de descarga

4 semanas

Necessidades especiais

Canadianas

Regresso ao trabalho de secretária

3 a 4 semanas

Regresso ao trabalho em pé ou pesado

6 a 12 semanas

Regresso ao desporto

12 semanas

Pretende algum esclarecimento adicional?
Terei todo o gosto em ajudar!