O que é?
O conflito anterolateral do tornozelo é uma condição caracterizada pela dor na região lateral e anterior do tornozelo, causada pelo entrapment de tecido sinovial entre margem anterior da tíbia ou peróneo e o colo do astrágalo na posição de dorsiflexão do tornozelo.
Como aparece?
O conflito anterolateral do tornozelo pode ser causado por diversos fatores, incluindo:
- Espessamento do ligamento de Bassett (ligamento acessório que faz parte da sindesmose anterior, que pode aumentar de espessura e provocar o impingement anterior do tornozelo)
- Entorses de repetição (a lesão do ligamento perónio astragalino pode levar a uma instabilidade do tornozelo, com consequente sinovite e desenvolvimento de osteófitos numa tentativa de estabilizar a articulação).
- Sinovite pós-traumática (inflamação da membrana sinovial após lesões leva ao aumento da sua espessura, podendo ser comprimido durante movimentos normais do tornozelo).
- Osteófitos (traumatismo repetidos, podem levar à formação de osteófitos na região anterior do tornozelo, que reduz o espaço articular, causando impacto ósseo durante a dorsiflexão)
- Alterações degenerativas (o desgaste progressivo da cartilagem pode levar a alterações biomecânicas que favorecem o impacto, assim como os osteófitos que se formam na osteoartrose).
Quais os sintomas?
Os principais sintomas do conflito anterolateral incluem a dor na parte anterolateral do tornozelo, geralmente ao caminhar, correr ou subir escadas (atividades que favoreçam a dorsiflexão do tornozelo). Pode ainda estar presente o edema recorrente, sons de estalo ou sensação de bloqueio, assim como diminuição da amplitude de movimento (principalmente da dorsiflexão - puxar o pé para cima).
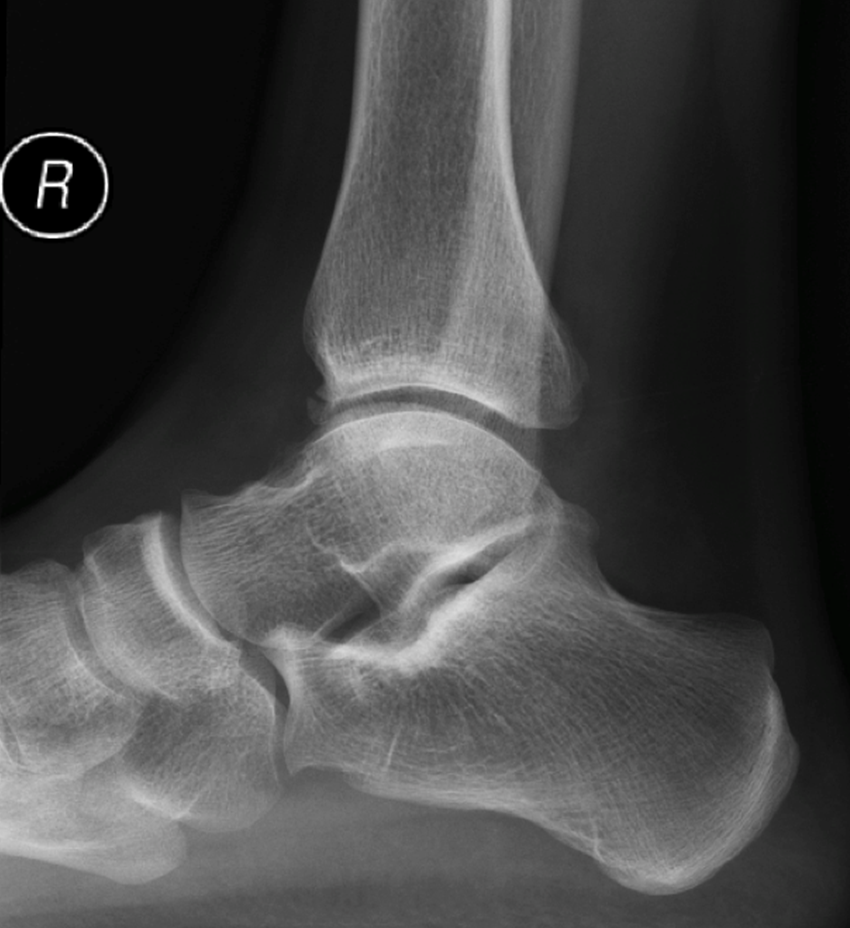
Como se faz o diagnóstico?

Geralmente o estudo é complementado com exames auxiliares de diagnóstico, como a radiografias em carga (pode logo identificar os osteófitos), ecografia e/ou a ressonância magnética.
Qual o tratamento?
O tratamento deve começar com o tratamento conservador.
Tratamento conservador
Este inclui medidas sintomáticas como o repouso, aplicação de gelo, medicamentos anti-inflamatórios e interrupção ou adaptação de atividades que agravam os sintomas. A fisioterapia também pode complementar para fortalecimento, alongamento e técnicas de mobilização articular que podem ajudar a melhorar a função e reduzir a dor.
Em determinados casos pode ser recomendada uma infiltração local de anti-inflamatórios corticoides.
Tratamento Cirúrgico
Quando o tratamento conservador falhar, o tratamento cirúrgico deve ser considerado. Atualmente a maioria das causas podem ser tratadas através da artroscopia anterior do tornozelo. São realizadas duas pequenas incisões de cerca de 1cm cada, uma para a introdução da câmara e outra para o portal de trabalho. O tratamento será dirigido à causa do conflito e pode incluir: a remoção de osteófitos e tratamento de lesões ligamentares, sinovectomia e do ligamento de basset.
No caso de tratamento cirúrgico, como é o pós operatório?
- Pode caminhar com o auxílio de canadianas com carga conforme tolerar após o primeiro penso.
- Primeiro penso pós-operatório na avaliação da 1ª consulta.
- Retira pontos na avaliação da 2ª consulta.
- Início da fisioterapia, após a retirada dos pontos. Para ganho de mobilidade articular (ativa e passiva) e exercícios de resistência com aumento gradual da força