O que é?

A osteoartrose do tornozelo é uma doença degenerativa que afeta a articulação do tornozelo. Leva ao desgaste progressivo da cartilagem, uma substância lisa e resistente que recobre as superfícies articulares e que permite o movimento suave da articulação, amortecendo o impacto e minimizando o atrito.
É muito menos comum do que a osteoartrose do joelho e da anca, afetando aproximadamente 1% da população mundial.
Como aparece?
Ao contrário da artrose da anca e joelho, a osteoartrose primária do tornozelo não é a etiologia mais comum, associada ao envelhecimento natural, onde a cartilagem se desgasta ao longo do tempo. A principal etiologia (75-80% dos casos) tem origem em um evento traumático - artrose pós-traumática do tornozelo. As fraturas na região do tornozelo (maleolares, pilão tibial ou astrágalo) são responsáveis pela maioria, seguindo-se a instabilidade ligamentar crónica do tornozelo.
Devido à sua etiologia predominantemente pós-traumática, os pacientes com artrose do tornozelo tendem a ser mais jovens (18-44 anos) do que aqueles com doenças degenerativas do joelho ou anca. Eles também sofrem uma perda de função mais rápida, com progressão para estadios avançados em 10 a 20 anos.
Quais os sintomas?
Os principais sintomas variam conforme a gravidade da doença, mas geralmente incluem dor articular de características mecânicas, derrame articular e/ou deformidade do tornozelo.
A dor pode inicialmente ser intermitente, associada ao uso da articulação, mas à medida que a condição progride, a dor pode se tornar constante, mesmo em repouso. Outros sintomas que podem estar presentes são a rigidez matinal ou após períodos de inatividade, com dificuldade em iniciar o movimento; a crepitação (sensação de rangido ou estalidos ao mover o tornozelo) assim como a diminuição da mobilidade articular, que pode afetar a capacidade de caminhar, subir escadas ou realizar outras atividades diárias.
Outros sinais clínicos incluem atrofia muscular da perna e distúrbios da marcha.
A artrose do tornozelo pode ser extremamente debilitante em estadios avançados e pode ter repercussões na qualidade de vida semelhantes à artrose grave da anca, insuficiência renal avançada e insuficiência cardíaca congestiva.
Como se faz o diagnóstico?
Ao exame objetivo podemos avaliar a limitação da mobilidade do tornozelo, o edema e a deformidade do tornozelo em estadios mais avançados.
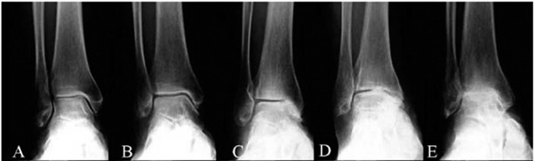
O diagnóstico por imagem é baseado em radiografias em carga, em que se visualiza o estreitamento do espaço articular, esclerose do osso subcondral, formação de osteófitos e possíveis deformidades articulares. A artrose do tornozelo pode passar despercebida nos estadios iniciais com as radiografias, podendo nestes casos ser necessário o estudo complementar com tomografia computorizada ou ressonância magnética.

Qual o tratamento?
O tratamento da osteoartrose do tornozelo é geralmente focado em aliviar os sintomas, melhorar a função articular e retardar a progressão da doença.
Tratamento conservador
Independentemente do grau de osteoartrose do tornozelo, o tratamento conservador deve ser tentado primeiro para avaliar sua eficácia e existem várias opções de tratamento que podem ser combinadas para aliviar os seus sintomas .
- A perda de peso pode reduzir a dor
- Evitar desportos de alto impacto.
- Utilizar um apoio de marcha como uma bengala ou bastão de caminhada, se necessário.
- O fortalecimento muscular, a prática regular de exercícios de alongamento e a aplicação de gelo local são algumas das medidas mais importantes.
- Utilização de calçado com sola em balancim, que descarrega a pressão não apenas do calcanhar, mas também da articulação do tornozelo.
- Medicação analgésica e antiinflamatória.
Quando estas medidas não são suficientes, podemos avançar para terapias mais invasivas mas ainda poupadoras da articulação, como as injeções intra-articulares de Ácido Hialurônico e plasma rico em plaquetas (PRP).
Tratamento Cirúrgico
O tratamento cirúrgico está indicado quando falha o tratamento conservador, e existem múltiplas modalidades terapêuticas:
- A artroscopia do tornozelo, está apenas indicada para o tratamento do impingment anterior, tratamento de lesões osteocondrais, corpos livres ou instabilidade crónica do tornozelo, problemas que irão levar ao desenvolvimento da artrose.
- As osteotomias são indicadas em casos de alinhamento incorreto do tornozelo, transferindo o eixo de transmissão de força da parte mais danificada da articulação para a menos danificada, aliviando a dor e retardando a progressão da osteoartrose.
- A Artroplastia Total do Tornozelo tem evoluido como alternativa à artrodese, sendo a técnica preferencial, pois permite preservar a mobilidade desta articulação.
- A artrodese do tornozelo, foi em tempos, o tratamento preferido para a artrose do tornozelo. Pode ser realizada através de uma técnica aberta convencional ou por técnicas minimamente invasivas artroscópicas. A ausência do movimento do tornozelo, leva à sobrecarga das articulações adjacentes, que se tornam responsáveis por compensar essa ausência de movimento.
Prótese do Tornozelo
No caso de tratamento cirúrgico com prótese do tornozelo, como é o pós-operatório?
- Pode caminhar com o auxílio de canadianas e com a bota walker, após dia 1.
- Primeiro penso pós-operatório na avaliação da 1ª consulta.
- Retira pontos na avaliação da 2ª consulta.
- Inicia retirada da bota walker às 4-5 semanas e colocação de sapato confortável.
- Início da fisioterapia, após a retirada dos pontos. Para ganho de mobilidade articular, treino de marcha e fortalecimento dos músculos do pé e tornozelo.
Artrodese do Tornozelo
No caso de tratamento cirúrgico com artrodese do tornozelo, como é o pós-operatório?
- Pode caminhar com o auxílio de canadianas, sem carga no membro operado.
- Primeiro penso pós-operatório na avaliação da 1ª consulta.
- Retira pontos na avaliação da 2ª consulta.
- Inicia carga parcial progressiva às 4-6 semanas.
- Início da fisioterapia, se necessário, após início da carga. Para treino de marcha e fortalecimento dos músculos do pé e tornozelo.